Gezondheid onderzoeken
U mag van een korthaar verwachten dat deze gezond is. Toch kunnen er afwijkingen in de gezondheid plaastvinden. De rasvereniging; Nederlandse Vereniging de Duitse Staande Korthaar is bezig met de gezondheid van de Duitse staande hond korthaar. Dit is een onderdeel van het verenigingsfokreglement van elke rasvereniging. Hierin stellen zij de volgende onderzoeken verplicht voor de ouderdieren: Heupdysplasie, en DNA-onderzoek: JEB + VWD type II (volgens VFR)
Bij vragen of twijfel over gezondheid van uw DSK, raden wij u aan contact op te nemen met uw dierenarts.
Exfoliatieve Cutaneous Lupus Erythematosus (ECLE)
Exfoliatieve Cutaneous Lupus Erythematosus is een chronische progressieve aandoening, dat zich kenmerkt door schilfering en korstvorming op de huid. De aandoening is ontdekt bij Duitse Staande Kortharen, waarbij is vastgesteld dat de ziekte autosomaal recessief vererft. Een aantal jaren terug is de ziekte ook vastgesteld bij de Vizsla.
De meeste aangetaste honden krijgen vanaf 10 weken schilfering aan de snuit, de oorschelpen en onderdelen van de romp. Naarmate de ziekte vordert, ontstaan korstvorming, zweren en infecties. Ook problemen bij het bewegen en kreupelheid komen voor. En de aandoening kan van invloed zijn op de voortplanting. Over het algemeen is deze ziekte slecht te behandelen en uiteindelijk worden de meeste aangetaste honden geëuthanaseerd vanwege de slechte kwaliteit van leven.
Acral Mutilation Syndrome (AMS)
Acral Mutilation Syndrome is een zeldzame autosomaal recessieve genetische aandoening die het gevoel in de extremiteiten van honden beïnvloedt. Dit resulteert in progressieve verminking van hun kussentjes en poten vanwege de afwezigheid van pijn. Getroffen honden zullen hun kussentjes en poten overmatig verzorgen, likken of bijten tot het punt van bloeden en zweren. Vaak zullen aangetaste puppy’s ook kleiner zijn dan de rest van hun nestgenoten.
Een mutatie en verlaagt niveau van eiwit (GDNF), beïnvloed de ontwikkeling van axonen in de neuronen van de hond. Daardoor verminderen pijnprikkels en het temperatuurgevoel bij de hond. Problemen die verband houden met AMS zijn onder meer bacteriële en schimmelinfecties, evenals zweren. Er zijn beperkt medicijnen beschikbaar om de ziekte het hoofd te bieden. Als de aandoening onhandelbaar blijkt, is euthanasie vanwege de slechte kwaliteit van leven noodzakelijk.
Omdat AMS recessief is, moet een hond een kopie van de mutatie van elke ouder erven om aangetast te worden. Er zullen geen tekenen van AMS verschijnen als de hond slechts één kopie van de mutatie heeft, hoewel hij wel drager zal zijn van de ziekte. Bij het samen fokken van twee dragers is er een kans van 25% per geboren pup dat deze symptomen van AMS ontwikkelt.
De ziekte van Von Willebrand(VWD)
De ziekte van Von Willebrand(VWD) is een erfelijke bloedstollingziekte. Honden met de ziekte van Von Willebrand hebben een mutatie in het gen dat verantwoordelijk is voor de productie van de van Willebrand factor. Bloedstolling is een ingewikkeld proces waarbij vele factoren moeten samenwerken om een beschadigde vaatwand te dichten. Eén van die stollingsfactoren is de Von Willebrand Factor (vWf), die in dat proces een lijmfunctie vervult die de bloedplaatjes aan elkaar en aan de vaatwand hecht. Samen vormen ze een soort net om het gat te dichten en de bloeding te stoppen. Daarnaast fungeert vWf ook als stabilisator en vervoerder van een ander stollingseiwit (factor VIII). Bij de ziekte van Von Willebrand wordt door het lichaam minder of een slechtere kwaliiteit van Willebrands Factor aangemaakt. De ziekte van Von Willebrand kent verschillende typen en subtypen waarbij de mate van ernst kan variëren van nauwelijks merkbaar, tot ernstige bloedingen met dodelijke afloop.
Via https://laboklin.nl/testaanbod-genetica kunt u een testpakket aanvragen. Na ontvangst van het testpakket maakt u een afspraak met u eigen dierenarts. De dierenarts neemt de test af bij de hond en vult het formulier. De testbuisjes en het formulier worden in de meegeleverde enveloppe naar Laboklin opgestuurd.
Let op: uw lidmaatschap van de NVDSK geeft u recht op korting!
Via de ledenadministratie kunt u een bewijs van lidmaatschap vragen (dit is jaar gebonden).
Een kopie van dit bewijs voegt u toe aan de enveloppe met de testbuisjes en het formulier.
Junctionele Epidermolysis Bullosa (JEB)
Indien een pup lijder is van deze genetische ziekte, openbaren de verschijnselen van deze ziekte zich ongeveer rond de vier weken. Deze ziekte kenmerkt zich door de vorming van zweren op de binnenkant van de oren, in de mond en op het tandvlees. Ook verwondingen of vorming van zweren op de poten en om de voetzolen en het uiteindelijk uitvallen van de nagels zijn voorkomende verschijnselen. De verwondingen zijn zeer pijnlijk en verhinderen de pups zich normaal te bewegen. Er is geen behandelingsmethode en de zieke pups zullen sterven of uiteindelijk volgt euthanasie. Dragers kunnen zonder DNA test onopgemerkt blijven en onwetend voor de fok worden ingezet. Zo heeft het defecte gen zich ongemerkt door de Duitse Staande Korthaar populatie kunnen verspreiden. Het is van het allergrootste belang dat toekomstige fokparen door middel van een DNA - test getest worden voordat ze worden ingezet.
Via https://laboklin.nl/testaanbod-genetica kunt u een testpakket aanvragen. Na ontvangst van het testpakket maakt u een afspraak met u eigen dierenarts. De dierenarts neemt de test af bij de hond en vult het formulier. De testbuisjes en het formulier worden in de meegeleverde enveloppe naar Laboklin opgestuurd.
Let op: uw lidmaatschap van de NVDSK geeft u recht op korting!
Via de ledenadministratie kunt u een bewijs van lidmaatschap vragen (dit is jaar gebonden).
Een kopie van dit bewijs voegt u toe aan de enveloppe met de testbuisjes en het formulier.
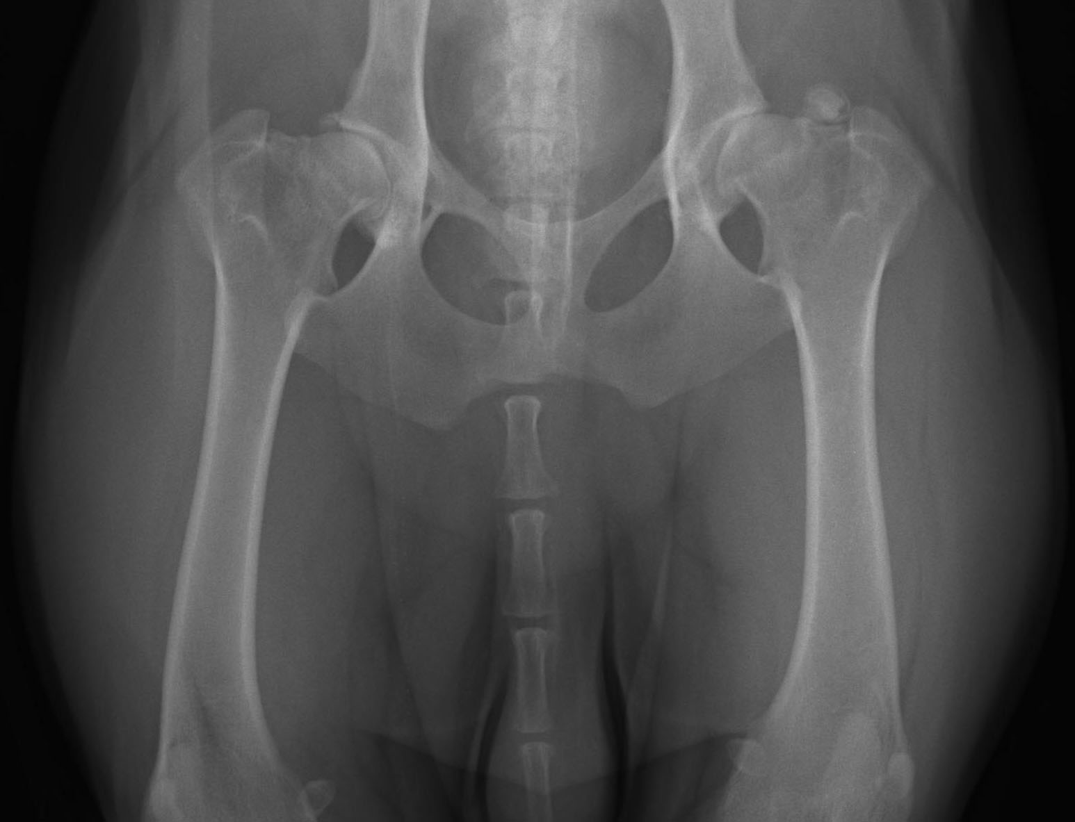
Heupdysplasie (HD)
Heupdysplasie (HD) is een ontwikkelingsstoornis van de heupgewrichten. Het kan erfelijk zijn, maar omgevingsfactoren spelen ook een rol bij de ontwikkeling. Een hond kan veel last hebben van HD, maar dat hoeft niet. Aan de buitenkant kun je niet zien of een hond HD heeft, dus als je hond goed kan lopen, hoeft dat nog niet te zeggen dat zijn heupen perfect zijn. Om echt te kunnen zien of je hond HD heeft, zijn (digitale) röntgenfoto’s van zijn heupen nodig.




